Pflegetipps Zahnschmelzabbau
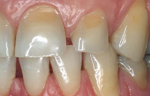
Zahnerosion verläuft schleichend und unbemerkt. Die Zähne werden durchscheinend, transparent, gelb und empfindlich.
Etwa jeder 3. Patient ist betroffen.