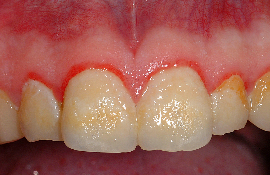
Pflegetipps Zahnfleischprobleme
Plaque ist nicht nur für die Entstehung von Karies, sondern auch für Zahnfleischprobleme verantwortlich. Giftstoffe der Bakterien reizen das Zahnfleisch.